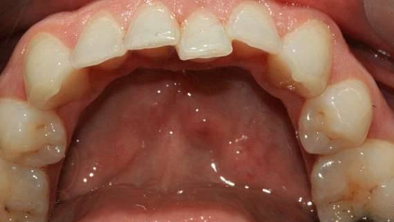
在很多人看来,牙齿不平整不是什幺了不起的大事,但长此以往很可能引发种种口腔问题。为了整牙,人们不得不戴上钢製牙套,既不美观又不方便。
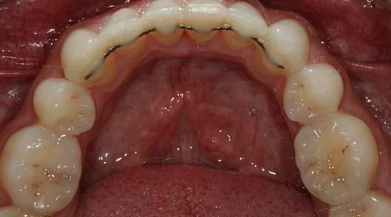
▼现在牙科技师们发明了一款名为Inman的矫正牙套,它不仅足够「隐形」,还能快速整牙,一经推出就引发牙齿美容的新革命。

▼这款牙套与拳击手的护齿牙套很相似,不过遮盖牙齿的丙烯套是透明的,只外露一条透明线圈,看起来并不显眼,几乎难以察觉。

▼Inman牙套很容易取下,使用者平时可以配戴,出席特别场合时可以拿出来。大部分牙套都是为生长发育期的孩子準备的,这款牙套却适用于发展完成的牙齿。那些牙齿状况不太差的人可以轻鬆使用。

▼普通的牙齿矫正牙套需要配戴1到2年的时间,Inman牙套只需要6週左右,就能让乱牙变平。它内部含有一些圈状弹簧,这些弹簧置于牙齿内侧,能够推移牙齿。牙齿正面则有一个塑胶薄板,能够与弹簧向相反方向施压。

安装这款牙套只需要1个小时,每月花费15分钟检查,不需要耗费大量时间。使用牙套的人每天配戴16到20小时,休息、用餐时可以取下来。刚刚配戴时,使用者可能感觉不太适应,甚至牙痛、口齿不清,适量服用止痛剂就好了。既能让牙齿变美,又不用变成大钢牙,这样的整牙方式太棒了。





