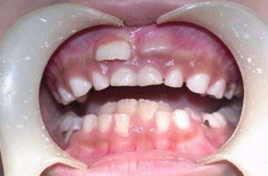
一般来说,小朋友6岁左右开始换牙,但因为种种原因,一些孩子换牙的时间要晚得多。不久前,一名8岁的小男孩被妈妈带去看牙医,原来他的乳牙没有脱落,新牙直接长了出来,看起来就像两排异形的牙。医生看过后表示,这是儿童常见的「双排牙」,责任还在父母身上!
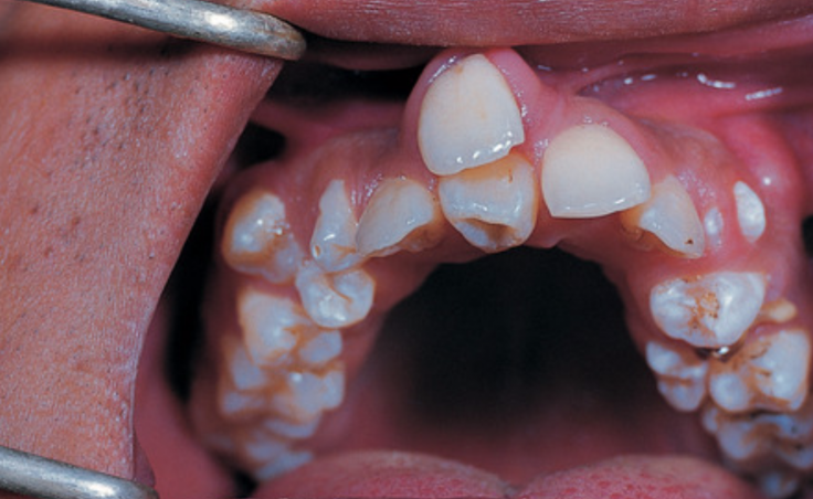
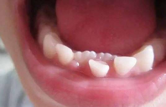
▼周围小朋友的乳牙没有脱落,下牙齿中央却长出了两颗新牙,新牙被挤成倒八字的形状,中间还产生了半个牙的空隙。他的乳牙牙根暴露在牙龈黏膜之外,很容易导致附近口腔黏膜创伤性溃疡。现在最好的方法就是实施局部麻醉,拔出乳牙。


▼医生表示,现在「双排牙」孩子越来越多,大多是因为营养过剩等原因造成的。偏食、好甜饮;长期食用流质食物;饮食过于精细;不愿意咀嚼食物等原因都可能导致「双排牙」。这个孩子的妈妈就表示,儿子从小就偏食,经常把甜乳製品当水喝。

▼想要预防双排牙,需要父母的监督。换牙期的宝宝应该多吃粗粮和未加工的食物,尽量不要养成咬唇、咬舌、吹口哨、咬铅笔等坏习惯。如果已经出现了双排牙,家长一定要儘快带宝宝去看医生,牙医会拔除滞留的乳牙,为恆牙的发育腾出位置。

如果换牙后牙齿排列不争气,可以在孩子12到14岁之间进行口腔正畸治疗。很多老人溺爱孩子,给他们吃太多零食,纵容他们不刷牙,这会让孩子养成不注意口腔卫生的坏习惯,对将来的成长发育不利。孩子出现双排牙,归根结底还是家长纵容的结果,不要因为一时的溺爱给孩子造成伤害。





